Dental Crowns
What Is a Crown?
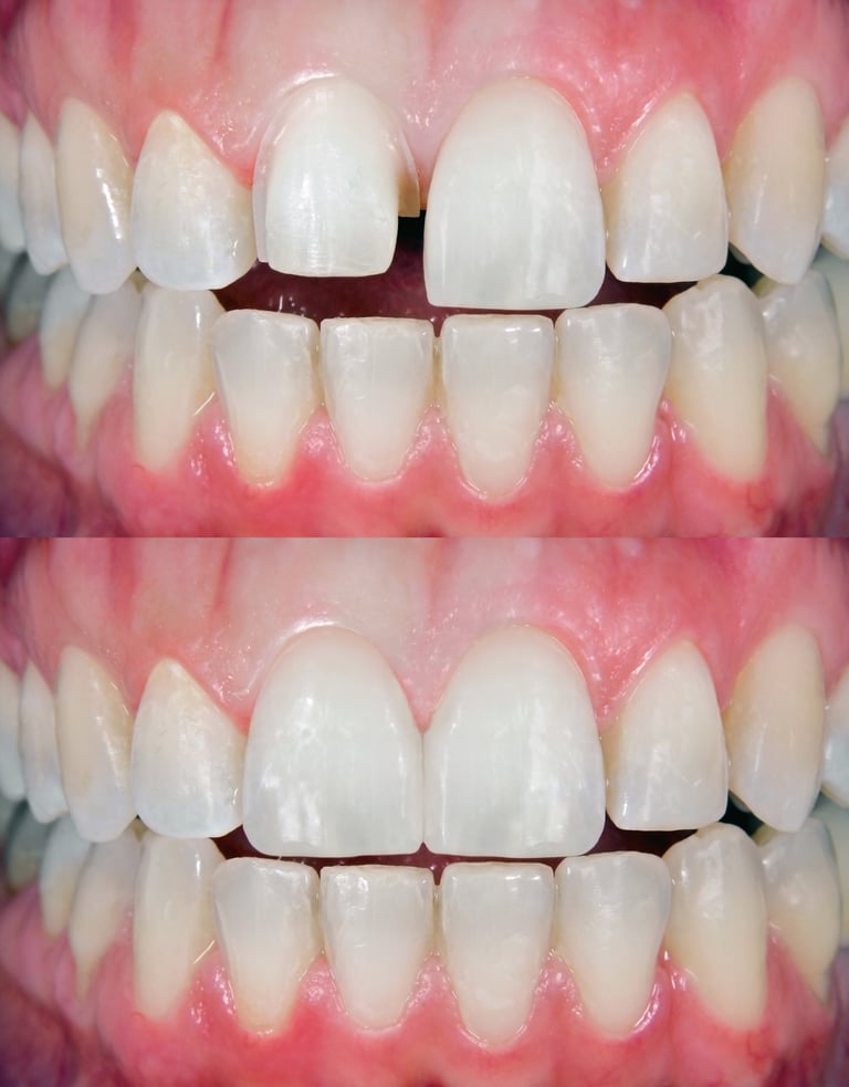
A crown is a custom “cap” that covers and protects a damaged or weakened tooth. It restores strength, function, and appearance so you can bite and smile comfortably again. We work with trusted U.S.-based dental labs to create durable, natural-looking crowns made just for you.
How Is a Crown Placed?
Getting a crown usually happens in a few simple steps:
Tooth prep: The tooth is gently shaped so the crown fits securely. If needed, extra support may be added.
Impression or scan: We take a digital scan or impression to ensure a precise fit.
Temporary crown: A temporary crown protects your tooth while the final one is made.
Final crown: The custom crown is placed, adjusted for comfort, and securely bonded.
Your comfort and accuracy matter at every step.


Who Might Need a Crown?
A crown may be recommended if:
A tooth is cracked, weak, or heavily decayed
A large filling has failed
A tooth has had a root canal
A dental implant needs a final restoration
How Long Do Crowns Last?
Most crowns last 10–15 years or longer with good care, including daily brushing and flossing, avoiding hard foods, and regular dental visits.
Pros & Cons
Benefits:
Strengthens and protects the tooth
Looks natural
Long-lasting
Things to consider:
Requires reshaping the tooth
Can be costly without coverage
May need replacement over time
Caring for Your Crown
Brush and floss daily, avoid chewing hard objects, wear a nightguard if you grind your teeth, and keep up with regular checkups to keep your crown in great shape.


What Is a Dental Bridge?
A dental bridge replaces one or more missing teeth by “bridging” the gap in your smile. It uses custom-made replacement teeth supported by nearby natural teeth or dental implants to restore function and appearance.
We work with trusted U.S.-based dental labs to ensure every bridge is precise, durable, and made to blend naturally with your smile.
Benefits of Dental Bridges
Restores your smile and confidence
Improves chewing and speaking
Prevents teeth from shifting
Non-surgical and efficient
Long-lasting (often 10–15 years with proper care)
More affordable than many permanent options


Quality Dentistry Made Simple
Quality dental care for your family's needs.
Support
Info@ochoafamilydental.com
© 2024. All rights reserved.
