Veneers
Porcelain Veneers
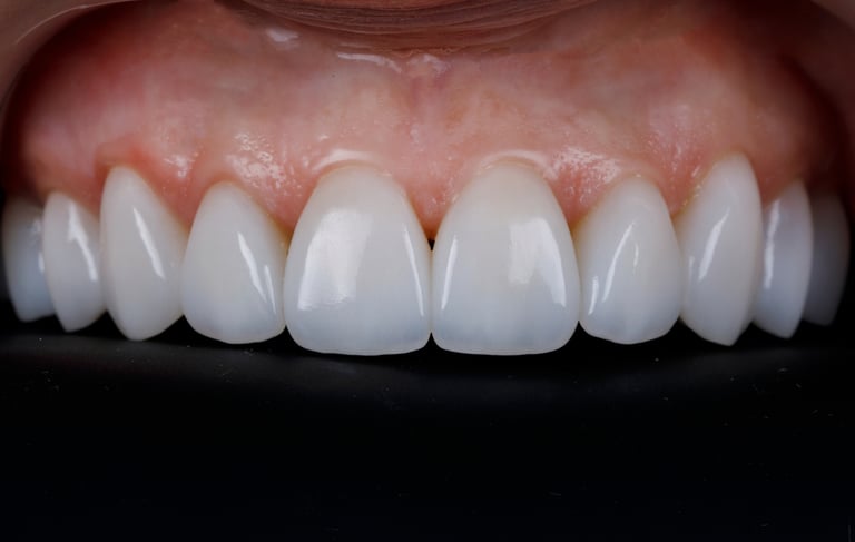
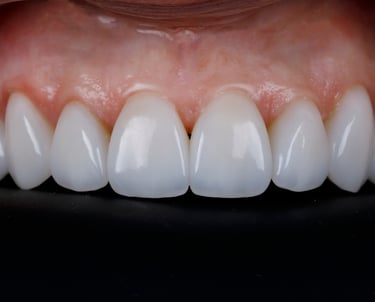
Custom-crafted porcelain veneers are designed to conceal chips, close gaps, correct minor misalignment, and enhance the overall shape, color, and symmetry of your smile. Each veneer is carefully planned and individually created to complement your facial features, bite, and natural tooth structure—delivering results that look beautifully natural while providing long-lasting durability.
The veneer process begins with a comprehensive consultation and smile planning, allowing you to preview your new smile before treatment begins. Precise tooth preparation and detailed impressions ensure an exact fit, followed by meticulous placement and bonding for optimal strength, comfort, and longevity. With proper care, veneers can provide years of confidence and function.
Through close collaboration and ongoing communication, every veneer is created with exceptional precision and artistry.
Our laboratory partners never outsource overseas or compromise on materials. Each veneer is handcrafted by highly skilled technicians we know and trust—the same experts we have relied on for over a decade to consistently deliver refined, natural-looking smiles.


Quality Dentistry Made Simple
Quality dental care for your family's needs.
Support
Info@ochoafamilydental.com
© 2024. All rights reserved.
